BIOSPAIN 2018 brings users to the hub country of Biotechnology in Europe
PTI | Sep 06, 2018
Company should compensate those affected by faulty hip implants: Centre
PTI | Sep 06, 2018
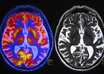
New AI model helps assess brain injury in patients
IANS | Sep 04, 2018
New electronic device developed to stop epileptic seizures
ANI | Aug 31, 2018
US researchers 3D print prototype for 'bionic eye'
IANS | Aug 30, 2018
NephroPlus introduces buttonhole needle for painless dialysis
UNI | Aug 30, 2018
Govt makes report public on hip replacement systems by MNC
PTI | Aug 29, 2018
AI system spots often-missed lung cancer tumours
IANS | Aug 28, 2018
Most read this week