New AI model helps assess brain injury in patients
IANS Sep 04, 2018
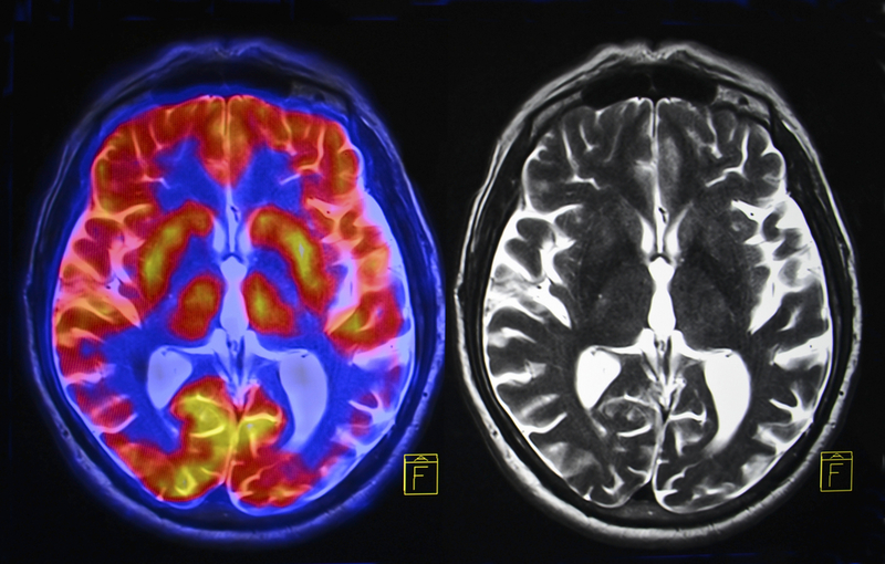
Chinese researchers have built an artificial intelligence (AI) model with medical imaging that would help determine whether patients with severe brain damage might regain consciousness.

Severe brain injury can lead to disorders of consciousness (DOC). Some patients can recover from an acute brain injury but others fall into chronic DOC, also known as a vegetative state. They cannot communicate or act consciously. The novel AI model can make an assessment based on images of brain functional networks, Xinhua news agency reported.
"When a brain functions, multiple brain regions are involved, and they form a network, working together. Like two mobile phones, though no actual wire links them, they have a functional connection when people make a phone call," said lead researcher Song Ming, from the Chinese Academy of Sciences. For the study, published in the journal eLife, the team used resting state functional MRI (fMRI) and found typical features seen in the brain functional networks of DOC patients, which can be biomarkers to trace the level of consciousness and predict the possibility of recovery.
To train the AI, they fed it tens of thousands of brain images of 63 DOC patients, at least one month after their brain injury. The model diagnosed patients who would recover consciousness and those who would not with an accuracy of 88 per cent in 100 cases.
-
Exclusive Write-ups & Webinars by KOLs
-
Daily Quiz by specialty
-
Paid Market Research Surveys
-
Case discussions, News & Journals' summaries