Scientists target foot, mouth disease virus to tackle pancreatic cancer
ANI | Feb 12, 2020
Japan cruise ship now has 135 coronavirus infections: Government
PTI | Feb 11, 2020
Coronavirus death toll in China crosses 1,000
PTI | Feb 11, 2020
New technique to improve melanoma detection, treatment
IANS | Feb 11, 2020
Coronavirus: WHO team of international experts on way to China
IANS | Feb 11, 2020
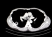
CT Imaging of the 2019 Novel Coronavirus (2019-nCoV) Pneumonia
M3 India Newsdesk | Feb 11, 2020
Single dose of HPV vaccine can protect from cervical cancer
ANI | Feb 11, 2020
Most read this week