None must be turned away from hospital over exorbitant rates: CJI
IANS | Jul 15, 2020
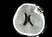
Long-studied protein could be a measure of traumatic brain injury
ANI | Jul 15, 2020
22 states doing over 140 COVID tests per day per million: Health Ministry
PTI | Jul 15, 2020
No 7 to 8 hours delay in disposing body, says Gandhi hospital
PTI | Jul 15, 2020
No return to old normal for foreseeable future: WHO chief
IANS | Jul 14, 2020
Most read this week