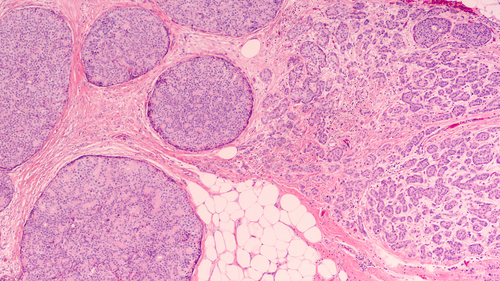
AI helps scientists gain insight into cancer biophysics
IANS | Jan 30, 2017
India launches fresh anti-polio drive fearing virus infiltration from Pakistan
IANS | Jan 30, 2017
Amartya Sen rues lack of good healthcare in India
IANS | Jan 30, 2017
Artificial skin that can 'feel' temperature changes created
IANS | Jan 30, 2017
Cheap breath test may detect stomach, oesophageal cancers
IANS | Jan 30, 2017
Good, bad, ugly: Health of 5 states going to polls
IANS | Jan 27, 2017
Biocon gets Rs 460 cr insulin order from Malaysia
IANS | Jan 27, 2017
Kofi Annan commends Delhi government's Mohalla clinics
IANS | Jan 27, 2017
New method can quickly identify bacteria in hospitals
IANS | Jan 27, 2017
NHRC notice to Telangana over refusal of treatment to HIV patient
IANS | Jan 27, 2017
Most read this week