Scientists find new therapies to cure life-threatening lung condition
IANS May 11, 2017
According to a recent study, scientists have pinpointed a chemical signal that worsens inflammation linked to a life-threatening lung condition.

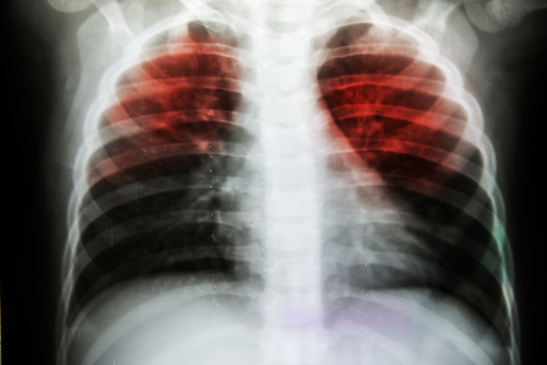
The study was published in journal Thorax.The researchers feel that this discovery could lead to new therapies for the disease, which can be fatal for up to half of those affected.Acute Respiratory Distress Syndrome (ARDS) is caused by widespread inflammation in the lungs and can lead to fluid leaking into the airways.The researchers found that patients with ARDS had high levels of a type of molecule called mitochondrial formylated peptide in the fluid of their lungs.
The lab tests found that these molecules play a key role in attracting specialised immune cells called neutrophils.Neutrophils are known to be responsible for orchestrating the inflammation associated with ARDS.Recent studies with mice found that blocking the molecules' signalling mechanisms helped to stem neutrophil infiltration and alleviate lung inflammation associated with ARDS.ARDS affects patients who are already critically ill and can be triggered by severe injuries or infections such as pneumonia.The researches explained, therapies that target these molecules, could potentially help patients with any type of ARDS, whether caused by an infection or not.
“For the first time, we have demonstrated that these mitochondrial formylated peptides are present and elevated in ARDS and that they directly drive lung inflammation. This therefore highlights a potential novel therapeutic target for this life threatening illness,” said study’s lead author Professor Adriano Rossi, of the University of Edinburgh's MRC Centre for Inflammation Research.
-
Exclusive Write-ups & Webinars by KOLs
-
Daily Quiz by specialty
-
Paid Market Research Surveys
-
Case discussions, News & Journals' summaries