Coronary artery compression in kids more common than previously believed
ANI Aug 13, 2018
Cardiologists have noted that the incidence of coronary artery compression in children fitted with epicardial pacemakers may be more common than previously believed.

Children who require pacemakers or defibrillators often need to have wires placed on the outside of their heart due to their size or unique anatomy. In rare instances, these wires can place the child at risk for "cardiac strangulation," which can lead to compression of the heart muscle and coronary arteries (the blood vessels that feed the heart) over time.
Lead investigator Douglas Y. Mah, said, "Coronary artery compression is thought to be rare. Its true incidence, however, may be higher than we believed either due to a lack of awareness or lack of reporting in the literature." The sudden death of a child with an epicardial pacemaker following coronary artery compression prompted investigators to enhance surveillance of all patients with epicardial pacing or defibrillation systems.
After reviewing the records of all patients followed at Boston Children's Hospital, few patients displayed symptoms; in addition to the case of sudden death, there were three cases of chest pain and two cases of unexplained fatigue. As a result of the review, some patients underwent surgical removal or repositioning of their epicardial leads.
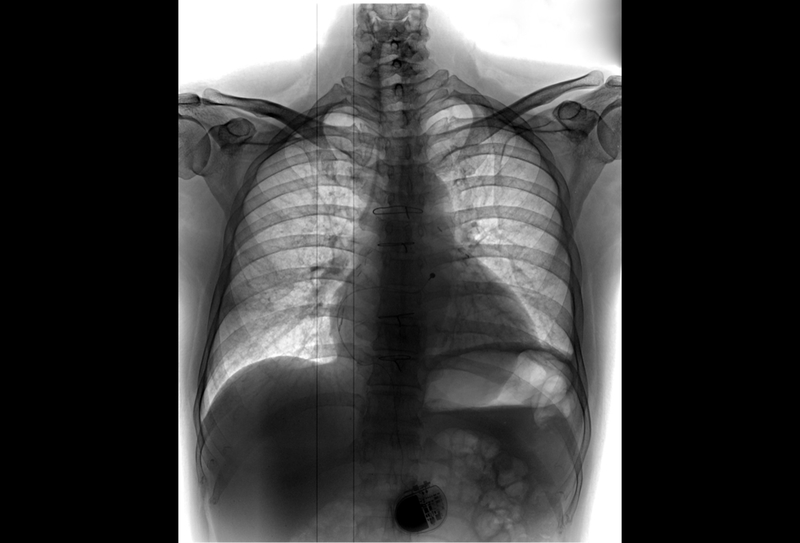
This study helps in providing a framework for monitoring patients with epicardial pacemakers or defibrillators and identifying those who may need revision or removal of their epicardial wires. Dr. Mah and colleagues compared three screening techniques. They recommend that pediatric patients with epicardial devices should get chest x-rays done every few years to assess how their wires look in relation to their heart, as the positioning may change with the child's growth.
They found that a chest x-ray had a high specificity and was a good screening tool, easy to perform, inexpensive, and non-invasive. However, it can produce some false-negatives even when patients were symptomatic. "The use of pacemakers and defibrillators in children is growing. As more epicardial devices are implanted, more children may be at risk for developing coronary compression from their leads," said Mah.
"We hope to increase awareness among healthcare providers and patients of this important, possibly preventable, and potentially fatal complication and provide a useful screening algorithm to detect at-risk patients and ultimately prevent complications," she added. Dr. Gerald A. Serwer, cardiologist, emphasized that all cardiologists who have patients with epicardial electrodes should always be aware of this potential complication and periodically assess patients for coronary issues with at least a periodic chest x-ray. The full findings are present in the journal- HeartRhythm.
-
Exclusive Write-ups & Webinars by KOLs
-
Daily Quiz by specialty
-
Paid Market Research Surveys
-
Case discussions, News & Journals' summaries