InsuOnline: An electronic game for teaching insulin therapy
M3 India Newsdesk | Feb 19, 2018
A novel technique by an Indian doctor: Calculating grafting area in split-thickness skin grafting for vitiligo patients
M3 India Newsdesk | Feb 16, 2018
Combination BET & PARP inhibitor therapy; potential therapeutic for ovarian cancer
M3 Global Newsdesk | Feb 15, 2018
A peek into the 'one doctor-many patients' crisis in India
M3 India Newsdesk | Feb 09, 2018
World Cancer Day- NGS Technology: Taking cancer diagnostics leaps ahead
M3 India Newsdesk | Feb 04, 2018
M3 India Survey: Does participating in a strike hurt a doctor's reputation?
M3 India Newsdesk | Jan 31, 2018
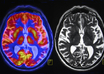
The future of imaging: Multicolor MRIs?
M3 Global Newsdesk | Jan 15, 2018
M3 INDIA SURVEY: One-half doctors wouldn't recommend the profession to the younger gen
M3 India Newsdesk | Jan 10, 2018
New insight into ovarian cancer progression could prevent metastasis
M3 Global Newsdesk | Jan 08, 2018
Married Dual-When both parents are doctors, women work fewer hours--but men don't
M3 Global Newsdesk | Jan 04, 2018
Most read this week