Yale-developed test for Alzheimer's disease directly measures synaptic loss
Yale School of Medicine News Jul 18, 2018

Yale researchers have tested a new method for directly measuring synaptic loss in individuals with Alzheimer’s disease. The method, which uses PET imaging technology to scan for a specific protein in the brain linked to synapses, has the potential to accelerate research for new Alzheimer’s treatments, the researchers said.
The study was published in JAMA Neurology.
Alzheimer’s disease affects 5.7 million Americans, and that number is expected to reach 14 million by the year 2050. To date, most of the research on the disease’s effects on the brain has been done postmortem. To investigate new treatments, researchers have recently explored methods for measuring memory loss in living patients.
This was a collaborative study between researchers at the Yale PET Center and the Yale Alzheimer’s Disease Research Unit (ADRU) to explore a new strategy for measuring synaptic loss—an established indicator of cognitive decline. A decrease in synapses, the junctions between nerve cells, correlates with cognitive impairment in Alzheimer’s disease patients, they said.
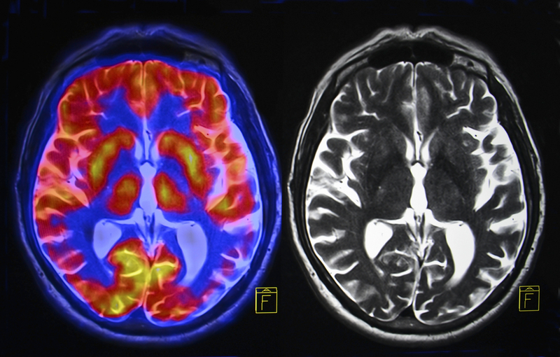
To quantify synaptic loss, the research team used a specific radioactive chemical, [11C]UCB-J, that binds with a protein, the SV2A, that is present in nearly all synapses. The researchers recruited 21 older adults with either early Alzheimer’s disease or normal cognitive ability. Each was injected with [11C]UCB-J and then scanned with high-resolution PET technology. The scans allowed the researchers to visualize synaptic “density” in different regions of the brain.
The researchers analyzed the scans, as well as results from MRIs and cognitive evaluations for both groups. Compared to individuals with normal cognition, the participants with Alzheimer’s disease had a 41% reduction in the SV2A marker in an area of the brain associated with memory.
“We found that in early Alzheimer’s disease, there is loss of synaptic density in the region of the hippocampus,” said first author Ming-Kai Chen, MD, associate professor of radiology and biomedical imaging, and co-medical director of the PET Center.
The findings show that the noninvasive PET test can provide a direct measure of synaptic loss in adults with even mild cognitive impairment. “With this new biomarker, PET imaging for SV2A, we can measure synaptic density in the living human brain,” Chen noted.
The Yale team is currently recruiting more study participants to confirm their findings and potentially use the PET technique to assess Alzheimer’s disease drugs, they said.
This PET imaging tool is also being used in clinical research studies at Yale for other diseases of the brain where synapse loss is a critical component of the disease, said Richard Carson, coauthor and director of Yale PET Center. These diseases include Parkinson’s disease, epilepsy, drug abuse, depression, and schizophrenia.
“A critical barrier in Alzheimer’s research has been the inability to measure synaptic density in living individuals,” said ADRU Director Christopher Van Dyck, MD. “Dr. Carson’s team has led a groundbreaking effort to provide us with this capability. For those of us in the Alzheimer’s field, in vivo assessment of synaptic density may transform our ability to track early Alzheimer’s pathogenesis and response to treatment.”
-
Exclusive Write-ups & Webinars by KOLs
-
Daily Quiz by specialty
-
Paid Market Research Surveys
-
Case discussions, News & Journals' summaries