New test measures men's fertility
Cornell University Health News | Sep 28, 2018
Study shows value of breast cancer patients seeking second opinions
Medical University of South Carolina (MUSC) News | Sep 28, 2018
Life expectancy for stage 3 breast cancer
Healthline/Medical News Today | Sep 28, 2018
Study shows link between breast-feeding and infant health is not straightforward
Newswise | Sep 27, 2018
Children of mothers who use marijuana start using the drug earlier
Brown University News | Sep 26, 2018
Do low vitamin D levels increase breast cancer risk?
Healthline/Medical News Today | Sep 23, 2018
Ovary removal may increase risk of chronic kidney disease
Newswise | Sep 23, 2018
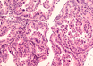
Novel biomarker predicts response to therapy in ovarian cancer patients
Newswise | Sep 22, 2018
Obesity and vitamin D deficiency may indicate greater risk for breast cancer
The North American Menopause Society News | Sep 21, 2018